30000

Сбор средств на лечение кабачка после ДТП

Категория
Животные
Дата размещения 27.03.2026 05:01
Местоположение Россия, Саратов
Контактная информация
89050324226
Пожаловаться на объявление

Описание

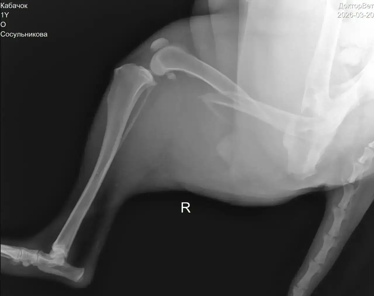
Ваша помощь бесценна, не бросайте нас. Помощь не бывает маленькой. Переводы. Долгий путь восстановления. Только вместе мы можем сделать этот мир лучше. Я без вашей помощи не смогу помочь кабачку. Сокур утром кабачка сбила машина на базе где она живет. Прошла операция, кабачок на мед передержке. Нам очень нужна и важна ваша помощь путь восстановления. Операция. Передержка сутки на месяц. Итого сумма к сбору. Итого. Итого остаток к сбору. Все лекарства купила я за свой счет.

Пожаловаться на объявление