30000

Сбор на операцию для кабачка (кошки/собаки) после ДТП

Категория
Животные
Благотворительный сбор
Дата размещения 21.03.2026 16:42
Местоположение Россия, Саратов
Контактная информация
89050324226, Ирина михайловна С, сбер, альфа, Тиньков, пометка кабачок благотворительность
Пожаловаться на объявление

Описание

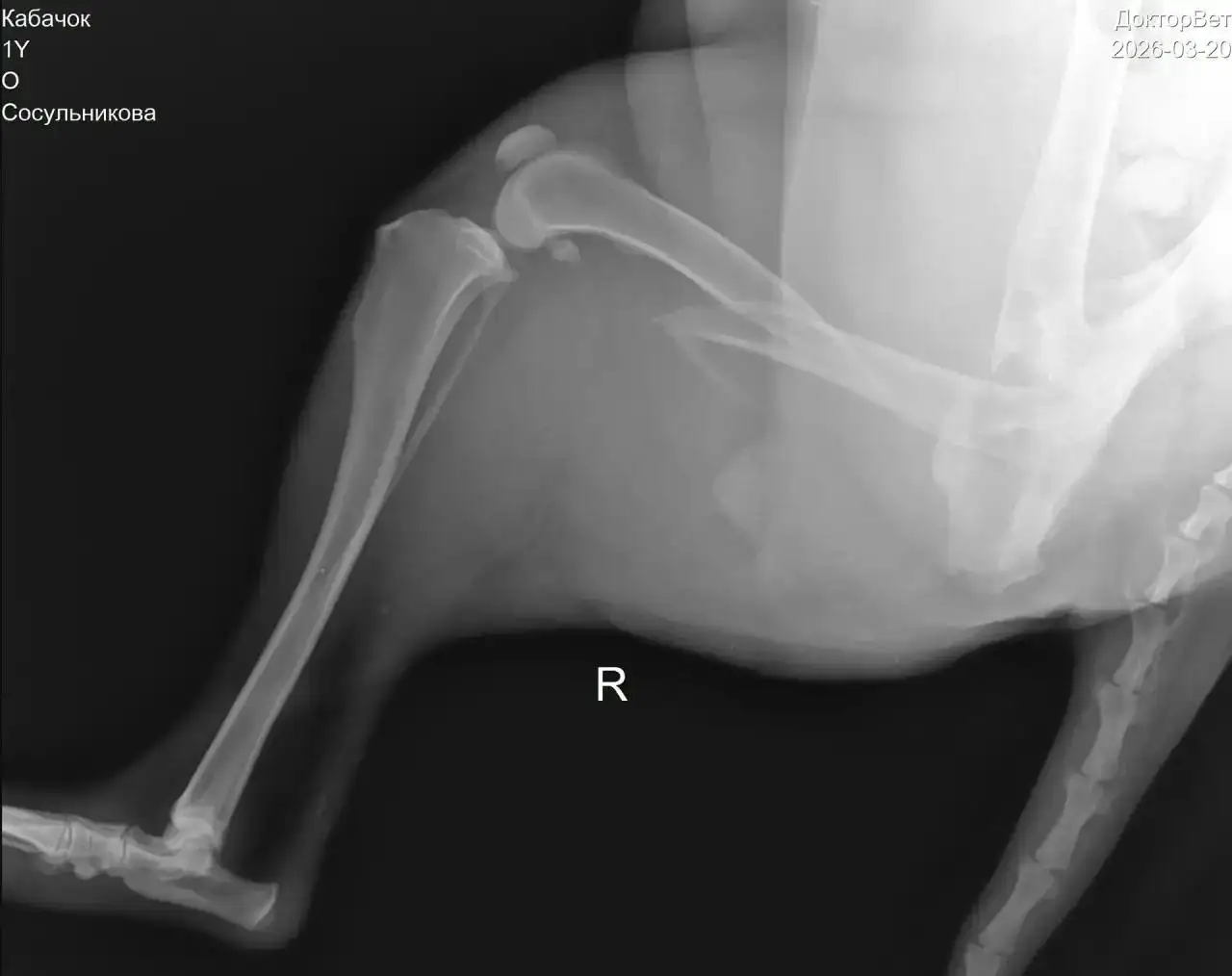
Требуется помощь в сборе средств на операцию для животного (кабачок) после того, как его сбила машина. Диагноз: перелом бедра со смещением. Операция необходима, иначе кости будут травмировать мягкие ткани. Уже собрана часть средств, но требуется дополнительная сумма. Животное находится на передержке с медицинским уходом до операции.

Пожаловаться на объявление