Услуги врача-стоматолога хирурга ортопеда

Категория
Услуги
Медицинские услуги
Дата размещения 06.02.2026 14:05
Местоположение Россия, Люберцы
Контактная информация
@Shtom_Ashuralov, +7-928-556-26-52
Написать в Telegram
Пожаловаться на объявление

Описание

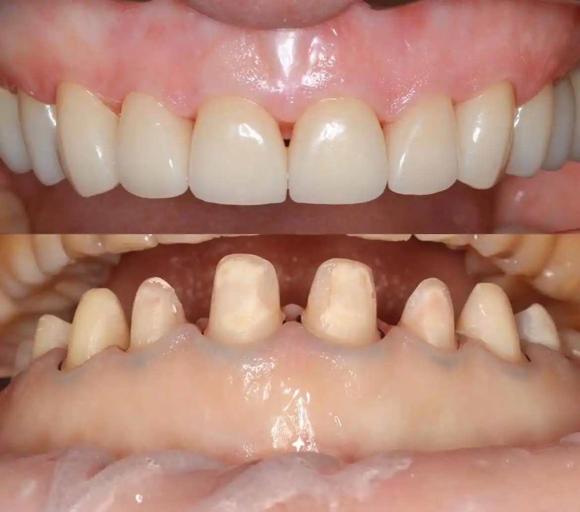
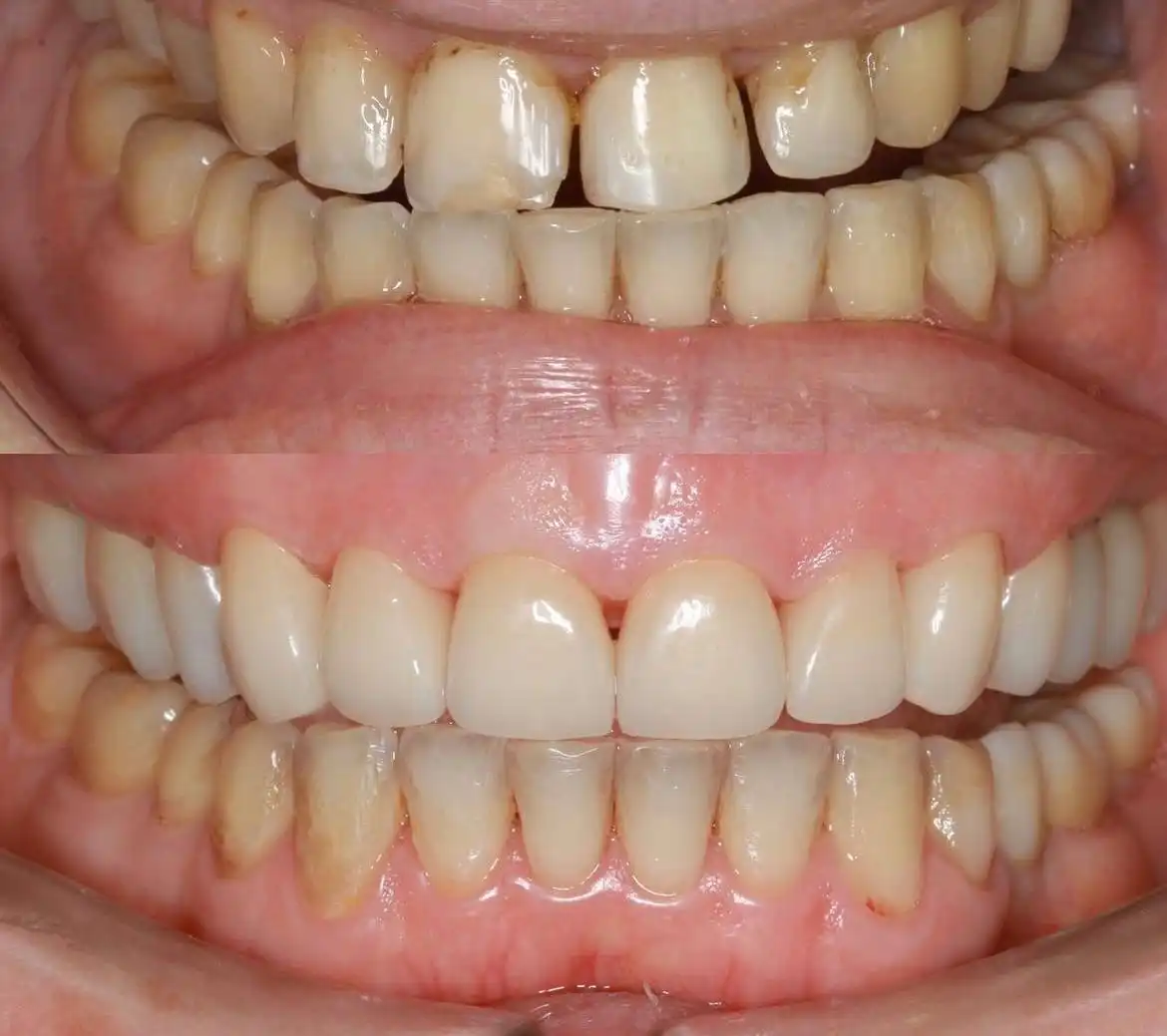
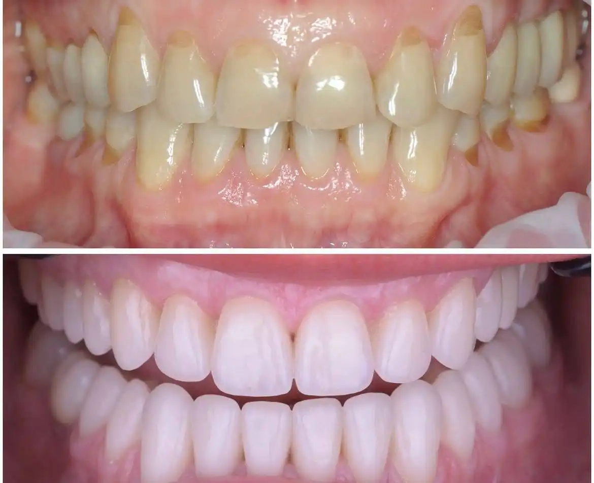
Врач-стоматолог хирург ортопед с практикой в области имплантации, лечения и протезирования зубов. Подробно объясняю каждый этап лечения, подбираю оптимальные решения и работаю максимально бережно. Выполняю хирургическое лечение зубов любой сложности, имплантацию с восстановлением утраченных зубов, терапевтическое лечение (кариес, пульпит, периодонтит), протезирование — от одиночных коронок до комплексного восстановления улыбки. В работе использую современные методики и качественные материалы, что позволяет добиться долговечного и эстетичного результата.

Пожаловаться на объявление